Aberrometría intraoperatoria en la cirugía de catarata
Martín Edisson Giraldo Mendivelso. Magister Ciencias de la Visión. ULS. Especialista en Segmento Anterior y Lentes de Contacto USTA, FELLOW IACLE. Profesor Universidad CES, Medellín. [email protected]. En el abordaje actual del manejo quirúrgico de la catarata,...
UN RECORRIDO RÁPIDO POR LA ETIOLOGÍA DE CATARATA PEDIÁTRICA
La catarata pediátrica es una causa de discapacidad visual severa si no se trata oportunamente. Es una condición que puede causar impacto en la educación, vida social, y futuro económico del humano en desarrollo. Sumado a lo anterior, se encuentran las múltiples...
Supraphob Infocus LIO EDOF
Profundidad de foco extendida Appasamy Associates, presenta el supraphob infocus – LIO EDOF es un LIO de cámara posterior fabricado con material acrílico hidrofóbico con cromóforos amarillos naturales, para impedir la incidencia de la luz azul (400 a 480 nm). En la...
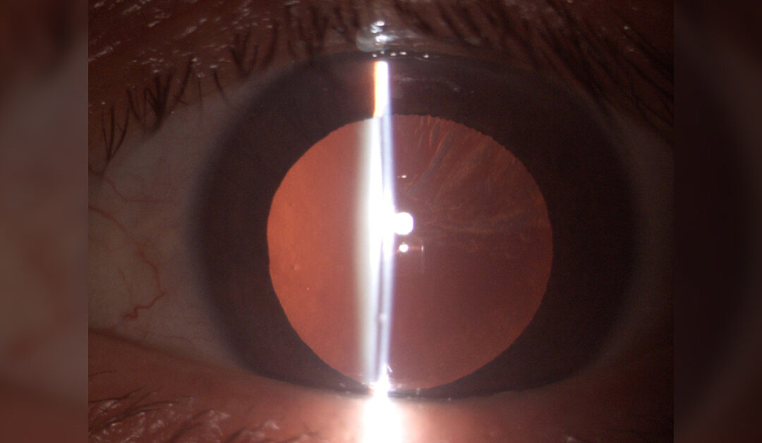
Influencia del estado refractivo en la formación de catarata cortical
A medida que aumenta la expectativa de vida de los humanos, también la posibilidad de tener catarata, según la Organización Mundial de la Salud (OMS) las cataratas son la primera causa de ceguera curable en el mundo, el 35% de las personas ciegas lo son a causa de las...
