Los lentes de contacto esclerales son ampliamente usados para la corrección visual de irregularidades corneales marcada, o defectos refractivos altos. La difusión de su uso, se extiende a nivel terapéutico, aprovechando sus ventajas físicas y propiedades especiales.1
Con el fin de mantener la fisiología de la superficie ocular lo menos alterada posible, se han distribuido diseños como el “reemplazo protésico del ecosistema de la superficie ocular” (PROSE), o el Onefit 2.0. Se trata de un lente de contacto escleral, hecho con material gaspermeable con un Dk aproximado de 85x 10-11 unidades Fatt ISO. La característica principal de este lente, es que consiste en un diseño personalizado o customizado asistido por computador; de tal manera que, está unido a un software de diseño, que está anclado a su vez a un software de manufacturación, para que el contacto con las partes involucradas (conjuntiva bulbar, esclera, y limbo), sea a través de un alineamiento suave. Para lograr un mejor efecto de apoyo, y evitar el contacto sobre limbo y córnea, y adicionalmente una bóveda amplia, su diámetro oscila entre 17mm y 23mm 2,3
Las aplicaciones de estos lentes asistidos por computadora son muy amplias. Khan et al 2019 por ejemplo, reporta su uso con fines visuales y terapéuticos en pacientes con defectos epiteliales persistentes. Para este caso particular, este sistema de diseño customizado permite proteger la córnea y promueve la reepitelización gracias a dos mecanismos: evitar contacto con las áreas lesionadas, y mantener una hidratación constante.4
Shannhag et al 2020, muestra los beneficios de estos lentes en enfermedades que causan serias alteraciones en la superficie ocular como el Síndrome de Stevens Johnson y la necrólisis tóxica epidérmica. El llevar estas patologías por un período crónico, lleva a cambios secundarios como la pérdida epitelial masiva, que se produce como consecuencia del ojo seco generado por los cambios mucocutáneos que sufren los párpados. En casos más graves, se ha reportado la presencia de insuficiencia de células madres limbares, y la invasión dérmica de la superficie ocular. En adición a los cambios oculares, los párpados pueden experimentar cambios en el margen como la migración posterior de la unión mucocutánea y aumento excesivo de la queratinización. En cuanto al tarso, este también sufre queratinización y lesiones cicatrizales severas. A lo anterior le debemos sumar trauma de la superficie por efectos del parpadeo. Las anteriores situaciones aumentan la sensibilidad e inconfort del paciente, con una agudeza visual altamente comprometida. Al proteger la superficie con estos lentes, se promueve la reepitelización constante, y reduce los efectos en la superficie corneal inducidos por las lesiones palpebrales y el trauma por parpadeo. Ver figura 1 y 2.5

Figura 1. En el panel superior se aprecia el cuadro preoperatorio de un paciente con injerto de membrana mucosa en párpado. En el inferior se observa el cuadro postoperatorio con adaptación de lente escleral asistido por computador. Nótese la disminución marcada de la lesión epitelial y vascularización, así como la promoción de sanación del área mucosa palpebral.

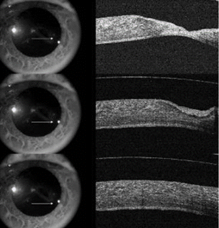
Figura 2. La imagen superior muestra el descemetocele (área señalada por las flechas) y el defecto epitelial. En la mitad y en la parte inferior, se aprecia la adaptación del lente escleral mostrando la evolución de la reepitelización y la recuperación del descemetocele.6
En conclusión, el uso de software especial para el diseño y adaptación de lentes esclerales en lesiones severas de la superficie ocular, es una gran alternativa para obtener buenos resultados visuales y el restablecimiento de la fisiología de la superficie ocular.
REFERENCIAS
1. Rathi VM, Dumpati S, Mandathara PS, Taneja MM, Sangwan VS. Scleral contact lenses in the management of pellucid marginal degeneration. Contact Lens Anterior Eye. 2016;39(3):217–20.
2. Rathi VM, Taneja M, Dumpati S, Mandathara PS, Sangwan VS. Role of Scleral Contact Lenses in Management of Coexisting Keratoconus and Stevens-Johnson Syndrome. Cornea. 2017;36(10):1267–9.
3. Bhattacharya P, Mahadevan R. Quality of life and handling experience with the PROSE device: an Indian scenario. Clin Exp Optom. 2017;100(6):710–7.
4. Khan M, Manuel K, Vegas B, Yadav S, Hemmati R, Al-Mohtaseb Z. Case series: Extended wear of rigid gas permeable scleral contact lenses for the treatment of persistent corneal epithelial defects. Contact Lens Anterior Eye [Internet]. 2019;42(1):117–22. Available from: https://doi.org/10.1016/j.clae.2018.09.004
5. Shanbhag SS, Shah S, Singh M, Bahuguna C, Donthineni PR, Basu S. Lid-Related Keratopathy in Stevens-Johnson Syndrome: Natural Course and Impact of Therapeutic Interventions in Children and Adults. Am J Ophthalmol [Internet]. 2020;219:357–65. Available from: https://doi.org/10.1016/j.ajo.2020.07.006
6. Xu M, Randleman JB, Chiu GB. Long-Term Descemetocele Management With Prosthetic Replacement of the Ocular Surface Ecosystem (PROSE) Treatment. Eye Contact Lens. 2020;46(2):e7–10.




